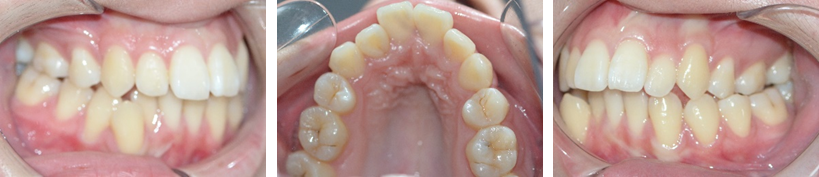
18岁的李女士,正值青春年华,却长期被牙列拥挤、咬合不齐困扰,笑容总显得局促不自然。夜里频繁的打鼾甚至呼吸暂停,更让她身心俱疲,学习与生活受到严重影响。原本满怀憧憬的大学生活,也因此蒙上阴影。
多次辗转求医后,她来到了徐州市口腔医院正颌正畸中心。经过详细检查和CBCT影像分析,最终诊断为“上颌骨发育不足、II类错合畸形、睡眠呼吸暂停综合征”。这意味着,她需要的不仅是美观上的改善,更是功能上的重建。

我院正颌外科团队为李女士制定了个性化方案:通过腭中缝骨皮质劈开术解除上颌骨阻力,联合上颌骨牵张成骨术让骨骼重新扩展,如同迎来“第二次发育”。治疗过程全程采用口内操作,无外部疤痕,最大程度保护组织并缩短恢复时间。

手术的顺利完成,为患者带来了显著疗效,也标志着我院在正颌外科领域迈出了实质性的一步。对于这位18岁的女孩来说,这不仅是一场治疗,更是梦想延续的开始。原本,她对即将到来的大学生活充满憧憬,却因牙列畸形和呼吸问题而感到担忧。如今,随着呼吸变得顺畅、笑容变得舒展,她终于能够自信地迎接新的校园时光。
骨性错颌不仅影响美观,更会带来咀嚼障碍与心理压力。李女士的蜕变,是医学为青春带来的礼物。未来,我院将继续依托多学科协作与数字化技术,不断推动正颌正畸规范化治疗,为更多患者带来精准、专业的诊疗服务。
徐州市口腔医院正颌正畸中心是医院重点发展的特色科室,专注于颌面部骨性畸形的诊断与治疗。中心由正颌外科与正畸专科联合组成,并与上海市第九人民医院开展深度合作,依托多学科协作,为患者提供从评估、正畸准备、正颌手术到康复随访的全流程一体化服务。若您或家人存在相关困扰,欢迎前来咨询,我们将为您提供个性化方案,帮助改善功能,提升生活质量,重拾自信笑容。
门诊时间:周一 13:30–17:00;周三 08:00–12:00
预约方式:徐州市口腔医院官网 / 微信公众号 / 互联网医院小程序
联系方式:85866027
